high-speed transmission, USB3.0, advanced image & video processing
Tags: CMOS CamerasC-mount CamerasUSB3.0 CamerasCooled Cameras
MTR3CMOScamera adopts SONY Exmor CMOS sensor as the image-picking device and USB3.0 is used as the transfer interface to increase the frame rate.
With the two-stage peltier cooling sensor chip to -42 degree below ambient temperature. This will greatly increase the signal to noise ratio and decrease the image noise. Smart structure is designed to assure the heat radiation efficiency and avoid the moisture problem. Electric fan is used to increase the heat radiation speed.
USB3.0 is used as the data transfer interface to increase the frame rate.
MTR3CMOS comes with advanced video & image processing application; Providing Windows/Linux/OSX multiple platform SDK; Native C/C++, C#/VB.NET, DirectShow, Twain Control API;
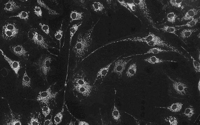
The MTR3CMOS can be widely used in low light environment and microscope fluorescence image capture and analysis, as well as the astronomy deep sky application.

MTR3CMOS Series
The MTR3CMOS body, made from tough, alloy with CNC technique, ensures a heavy duty, workhorse solution. The camera is designed with a high quality IR-CUT or AR to block the IR light or protect the camera sensor. The fan's vibration is minimized to the low level to eliminate the vibration caused imaging blur. This design ensures a rugged, robust solution with an increased lifespan when compared to the other industrial camera solutions.

Dimension of MTR3CMOS

Hot noise for the MTR3CMOS at Gain 20 , 600 second, 15 Centidegree
Hot noise for the MTR3CMOS Gain 20 , 600 second, minus 15 Centidegree
Order Code | Sensor & Size(mm) | Pixel(μm) | G Sensitivity Dark Signal | FPS/Resolution | Binning | Exposure |
|---|---|---|---|---|---|---|
MTR3CMOS20000KPA | 20M/IMX183(C) | 2.4 x2.4 | 462mv with 1/30s | 5@5440x3648 10@4096x2160 15@2736x1824 30@1824x1216 | 1x1, | 0.1ms~3600s |
MTR3CMOS20000KMA | 20M/IMX183(M) | 2.4 x2.4 | 388mv with 1/30s (F8.0) | 17.8@5440x3648 41@4096x2160 51@2736x1824 64@1824x1216 | 1x1, | 0.1ms~3600s |
MTR3CMOS16000KPA | 16M/MN34230PLJ(C) | 3.8x3.8 | 2413LSB | 6@4640x3506 | 1x1 | 0.15ms~3600s |
MTR3CMOS16000KMA | 16M/MN34230ALJ(M) | 3.8x3.8 | 2650LSB | 22.5@4648x3506 | 1x1 | 0.15ms~3600s |
MTR3CMOS10300KPA | 10.3M/IMX294(C) | 4.63 x4.63 | 419mv with 1/30s | 7.5@3704x2778 | 1x1, | 0.15ms~3600s |
MTR3CMOS07100KPA | 7.0M/IMX428(C) | 4.5 x4.5 | 2058mv with 1/30s | 12@3200x2200 33@1600x1100 | 1x1 1x1 | 0.1ms~3600s |
MTR3CMOS07100KMA | 7.0M/IMX428(M) | 4.5 x4.5 | 3354mv with 1/30s | 51@3200x2200 | 1x1 2x2 | 0.1ms~3600s |
MTR3CMOS01700KPA | 1.7M/IMX432(C) | 9.0 x9.0 | 4910mv with 1/30s | 33@1600x1100 | 1x1 | 0.1ms~3600s |
MTR3CMOS01700KMA | 1.7M/IMX432(M) | 9.0 x9.0 | 8100mv with 1/30s | 94@1600x1100 | 1x1 | 0.1ms~3600s |
C:Color; M:Monochrome;
Other Specification for MTR3CMOS Cameras | |
|---|---|
Spectral Range | 380-650nm (with IR-cut Filter) |
White Balance | ROI White Balance/ Manual Temp Tint Adjustment/NA for Monochromatic Sensor |
Color Technique | Ultra-FineTM Color Engine/NA for Monochromatic Sensor |
Capture/Control API | Native C/C++, C#/VB.NET, DirectShow, Twain and Labview |
Recording System | Still Picture and Movie |
Cooling System* | Two-stage TE-cooling System -45 °C below Camera Body Temperature |
Operating Environment | |
Operating Temperature(in Centidegree) | -10~ 50 |
Storage Temperature(in Centidegree) | -20~ 60 |
Operating Humidity | 30~80%RH |
Storage Humidity | 10~60%RH |
Power Supply | DC 5V over PC USB Port External Power Adapter for Cooling System, DC12V, 3A |
Software Environment | |
Operating System | Microsoft® Windows® XP / Vista / 7 / 8 /10 (32 & 64 bit) OSx(Mac OS X) Linux |
PC Requirements | CPU: Equal to Intel Core2 2.8GHz or Higher |
Memory:2GB or More | |
USB Port:USB3.0 High-speed Port | |
Display:17” or Larger | |
CD-ROM | |
RGB Image Captured with MTR3CMOS Camera
Red Fluorescent Image | Green Fluorescent Image |
Blue Fluorescent Image | Fused Fluorescent Image |
Packing Information for MTR3CMOS Camera
Standard Package | ||||
|---|---|---|---|---|
A | Carton L:50cm W:30cm H:30cm (20pcs, 12~17Kg/ carton), not shown in the photo(TBD) | |||
B | 3-A safety equipment case: L:28cm W:23cm H:15cm (1pcs, 2.8Kg/ box); Carton size:L:28.2cm W:25.2cm H:16.7cm(TBD) | |||
C | MTR3CMOS camera(C-mount) | |||
D | Drying tube and desiccant | |||
E | Power adapter: input: AC 100~240V 50Hz/60Hz, output: DC12 V 3A | |||
F | High-Speed USB3.0 A male to B male gold-plated connectors cable /1.5m | |||
G | CD (Driver & utilities software, Ø12cm) | |||
Optional Accessory | ||||
H | Adjustable lens adapter | C-mount to Dia.23.2mm eyepiece tube | 108001/AMA037 108004/AMA100 | |
C-Mount to Dia.31.75mm eyepiece tube | 108008/ATA037 108011/ATA100 | |||
I | Fixed lens Adapter | C-mount to Dia.23.2mm eyepiece tube | 108005/FMA037 108008/FMA100 | |
C-mount to Dia.31.75mm eyepiece tube | 108011/FTA037 108014/FTA100 | |||
Note: For H and I optional items, please specify your camera type(C-mount, microscope camera or telescope camera), Jingtong engineer will help you to determine the right microscope or telescope camera adapter for your application; | ||||
J | 108015(Dia.23.2mm to 30.0mm Ring)/Adapter rings for 30mm eyepiece tube | |||
K | 108016(Dia.23.2mm to 30.5mm Ring)/ Adapter rings for 30.5mm eyepiece tube | |||
L | Calibration kit | 106011/TS-M1(X=0.01mm/100Div.); | ||
The Microscope Experts
We are here to help you find the best microscope for your needs at the lowest possible price.
Our customers: AMScope.com, Microscope.com, Omano...